What is Flatfoot?
Flatfoot, as the name suggests, refers to the collapse of the arch of the foot. In fact, flatfoot is a multi-dimensional deformity, not only manifested as the collapse of the medial longitudinal arch but also including rearfoot valgus, and in severe cases, it may even cause ankle valgus. The collapse of the arch and rearfoot valgus are often accompanied by a pronation deformity of the forefoot.
Collapse of the Arch in Flatfoot

Rearfoot Valgus and Medial Prominence in Flatfoot
Do Flatfeet Need Treatment and When?
Generally speaking, the incidence of flatfoot is high in children under the age of 10, but as growth and development progress, the arch of the foot will gradually improve and recover. If after the age of 10, the arch has not recovered, it should be taken seriously. If there are long-term symptoms such as pain, and the pain cannot be relieved even with the use of arch supports, or if the degree of deformity is severe; or if there is limited joint mobility, and the arch cannot be passively corrected when checked, i.e., so-called rigid flatfoot, then it is necessary to seek medical attention.
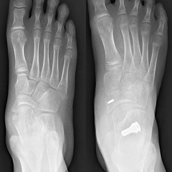
What is Subtalar Joint Bracing Surgery?
Subtalar joint bracing surgery is a surgical intervention measure for the further treatment of flatfoot that is unresponsive to conservative treatment. It is a minimally invasive treatment method that corrects the deformity of flatfoot by placing a "screw" between the sinus tarsi, talus, and calcaneus, known as a subtalar joint stabilization screw.

Correction of Talus Internal Rotation After Bracing

Correction of Talus Sinking After Bracing

Recovery of the Arch After Bracing Surgery

Correction of Rearfoot Valgus After Bracing Surgery
Postoperative Recovery
After the placement of the brace, one can walk as soon as the wound heals, which generally takes about two weeks. To avoid long-term impact on the joint from the device placed inside the joint, it is recommended to remove the subtalar joint stabilization screw after one year.